¿En qué consisten los ataches de ortodoncia invisible?

Si estás considerando comenzar un tratamiento de ortodoncia discreto, una opción popular es Invisalign. Estos alineadores transparentes pueden corregir problemas de alineación y mordida dental. En algunos casos, se pueden requerir ataches (o attachments).

Hoy en Clínica Dental Fuente del Ángel, te explicamos en qué consisten y para qué se utilizan.

¿Qué son los ataches en Invisalign?

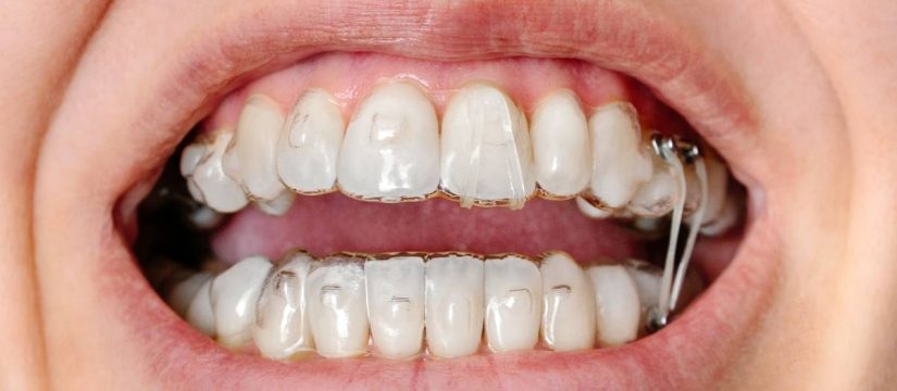
Los ataches de ortodoncia invisible son pequeñas protuberancias de composite que se adhieren a la superficie de los dientes. Se utilizan en conjunción con los alineadores de plástico transparentes, como los que se usan en sistemas como Invisalign, para ayudar a dirigir y controlar el movimiento dental durante el tratamiento ortodóncico.

Estos ataches son estratégicamente colocados por el ortodoncista en áreas específicas de los dientes, de acuerdo con el plan de tratamiento individualizado de cada paciente. Su colocación se basa en la anatomía dental del paciente y en los objetivos de corrección de la maloclusión o problema ortodóncico que se esté tratando.

La forma y el tamaño de los ataches pueden variar según las necesidades del paciente y la complejidad del caso. Generalmente, son pequeños (su tamaño es de 1-3 mm) y están diseñados para ser discretos, de modo que sean menos perceptibles para el ojo. Además, el color del composite utilizado para hacer los ataches se selecciona cuidadosamente para que coincida con el color de los dientes circundantes, lo que contribuye a su aspecto discreto.

¿Para qué sirven los ataches?

Los ataches cumplen varias funciones importantes durante el tratamiento de ortodoncia invisible:

  • Mejora del agarre: los ataches proporcionan puntos de contacto adicionales entre los alineadores y los dientes, lo que mejora el agarre y la estabilidad de los alineadores. Esto permite que los alineadores ejerzan fuerzas más precisas y controladas sobre los dientes, facilitando así el movimiento dental planificado.
  • Control de la rotación y la inclinación: los ataches se colocan en lugares estratégicos para ayudar a controlar la rotación y la inclinación de los dientes durante el tratamiento. Esto es especialmente útil para corregir dientes que están torcidos o mal posicionados.
  • Creación de puntos de anclaje: los ataches actúan como puntos de anclaje para los alineadores, permitiendo que se apliquen fuerzas específicas en áreas específicas de los dientes para lograr la corrección deseada. Esto es crucial para el éxito del tratamiento, especialmente en casos de maloclusiones más complejas.
  • Facilitación de ciertos movimientos dentales: dependiendo de la ubicación y la forma de los ataches, pueden ayudar a facilitar ciertos movimientos dentales, como el cierre de espacios interdentales, la intrusión o extrusión de dientes, y la corrección de mordidas cruzadas o abiertas.

¿Cuánto tiempo hay que llevarlos puestos?

Los ataches se retiran al finalizar el tratamiento de ortodoncia invisible. Su colocación y eliminación son procesos no invasivos y generalmente no causan molestias significativas al paciente.

¿Puedo comer con los ataches puestos?

Sí, puedes comer con los ataches de ortodoncia invisible puestos. Dado que los ataches están adheridos a la superficie dental y tienen poco relieve, no deberían causar problemas al comer. Simplemente necesitarás quitarte los alineadores antes de comer y luego ponértelos de nuevo después de haber terminado.

Si quieres comenzar un tratamiento de ortodoncia invisible, no dudes en visitar nuestra clínica dental en Huesca.

Llámanos
Resumen de privacidad

Esta web utiliza cookies para que podamos ofrecerte la mejor experiencia de usuario posible. Su información se almacena en tu navegador y realiza funciones tales como reconocerte cuando vuelves a nuestra web o ayudar a nuestro equipo a comprender qué secciones de la web encuentras más interesantes y útiles.