¿Se pueden mover los dientes con retenedores fijos?

Después de terminar un tratamiento de ortodoncia, mantener los resultados conseguidos es tan importante como el propio proceso. Los retenedores fijos ayudan a conservar la posición de los dientes y evitar que vuelvan a moverse. Aun así, con el paso del tiempo es normal que surjan dudas.

La respuesta es sí. En este artículo te explicamos de forma clara por qué pueden moverse los dientes con retenedores fijos, cómo detectarlo a tiempo y qué hacer si notas cambios en tu sonrisa.

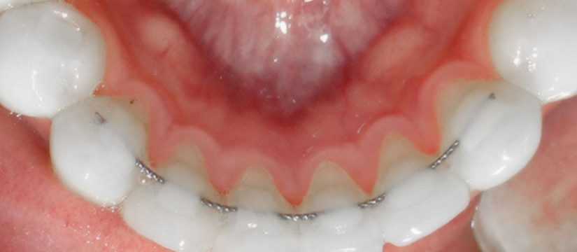
¿Qué es un retenedor fijo y cuál es su función?

El retenedor fijo es un alambre metálico fino que se adhiere a la parte interna de los dientes, normalmente en la arcada inferior, aunque también puede colocarse en la superior, y que sujeta las piezas dentales de toda la arcada. Su misión es sencilla pero esencial: mantener los dientes en la posición conseguida tras la ortodoncia, evitando que vuelvan a moverse con el paso del tiempo.

A diferencia de los retenedores removibles, este tipo permanece adherido de forma permanente, ofreciendo una sujeción constante, cómoda y prácticamente invisible.

Causas del movimiento dental con retenedores fijos

Aunque pueda parecer contradictorio, sí se pueden mover los dientes con retenedores fijos, incluso cuando están correctamente colocados. Estas son las causas más frecuentes:

El alambre se despega o se rompe

Con el tiempo, el cemento que fija el retenedor puede debilitarse o despegarse parcialmente. Cuando eso ocurre, uno o varios dientes quedan sin soporte, lo que permite que se produzcan pequeños desplazamientos.

Cambios naturales en la boca

La presión que ejercen la lengua y los labios, y, además, el envejecimiento del hueso alveolar pueden generar desplazamientos leves, aunque el retenedor esté bien colocado.

Higiene oral inadecuada

La acumulación de placa o sarro alrededor del retenedor puede modificar la posición dental e inflamar las encías, afectando a la firmeza de los dientes.

Hábitos parafuncionales

El bruxismo, morder un bolígrafo o empujar con la lengua el retenedor son fuerzas que pueden superar la retención del alambre y provocar un movimiento en los dientes.

Cómo saber si tu retenedor fijo sigue funcionando correctamente

Si notas alguno de estos cambios, es el momento de pedirle una cita a tu ortodoncista:

  • Uno o varios dientes ya no encajan como antes.
  • Notas ligeros desplazamientos o huecos nuevos.
  • El alambre se mueve o se ha despegado.
  • Te cuesta pasar el hilo dental o hay una acumulación de sarro.

Como centro dental de referencia en Huesca, revisamos el estado de tu retenedor fijo, comprobamos si sigue cumpliendo su función correctamente y te explicamos las opciones si necesita un ajuste o reparación.

¿Qué hago si noto que mis dientes se han movido?

En muchos casos, cuando se detecta a tiempo que se pueden mover los dientes con retenedores fijos, basta con una pequeña reparación del alambre o un ajuste sencillo.

Si el movimiento es mayor, puede ser necesario usar temporalmente un retenedor removible o incluso retomar un breve tratamiento de ortodoncia para reposicionar correctamente los dientes. Cuanto antes se detecte el cambio, más sencillo será corregirlo.

Aunque los retenedores fijos son muy eficaces para mantener una buena alineación dental con ortodoncia, los dientes pueden desplazarse por las causas mencionadas anteriormente. La clave está en el mantenimiento, la higiene y las revisiones regulares.

Si notas que tus dientes se han desplazado o que el alambre está suelto, pide cita con nuestros especialistas en ortodoncia. 

Llámanos
Resumen de privacidad

Esta web utiliza cookies para que podamos ofrecerte la mejor experiencia de usuario posible. Su información se almacena en tu navegador y realiza funciones tales como reconocerte cuando vuelves a nuestra web o ayudar a nuestro equipo a comprender qué secciones de la web encuentras más interesantes y útiles.